Sandra Żaba
Opuszczasz stronę Fundacji Avalon.
Kliknąłeś w link, który prowadzi do serwisu zewnętrznego . Fundacja Avalon nie bierze odpowiedzialności za treści, które pojawią się na tej stronie.

O mnie
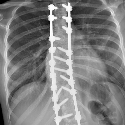
Sandra od urodzenia ma obniżone napięcie mięśniowe, asymetrię oraz zaburzenia SI. Mając ok. 5 lat zdiagnozowaliśmy u niej skoliozę, która z czasem bardzo postępowała. Pomimo ogromnego wysiłku i starań nie dało się jej zmniejszyć, dlatego musiała być operowana w wieku 12 lat. Sandra ma usztywniony prawie cały odcinek piersiowy i lędźwiowy. Niestety kilka miesięcy po bardzo skomplikowanej operacji pojawiły się codzienne bóle odcinków szyjnego i lędźwiowego, dlatego też wymaga ciągłego leczenia, rehabilitacji i terapii wielospecjalistycznej. Oprócz tego Sandra ma wadę wzroku, Zespół Aspergera, doszła również choroba genetyczna Zespół Ehlersa-Danlosa oraz leczy się na depresję. Dzięki Waszej pomocy Sandra może uczestniczyć między innymi w bardzo kosztownych turnusach rehabilitacyjnych, różnych terapiach, aby ratować zdrowie psychiczne oraz fizyczne. Każda nawet najmniejsza wpłata jest dla nas bardzo ważna i z całego serca Wam dziękujemy.
Rodzice Sandry
